關於我們

北聖製香廠

【信任,是我們對您的承諾】

源於北港~人們信仰的北港媽祖廟、北港五路財神廟的宗教聖地,在敬天知命、薪火相傳的理念下,【北聖製香廠】於1980年成立至今。

我們秉持對禮敬神佛的虔誠,香品嚴選原木材料,以友善環境的理念研發「天然無毒純香」,不刺鼻,決不添加化學香料、化學粘粉、火藥(硝)等有害人體的物質。


【北聖製香廠】以製好香,傳馨香為念,致力於文化傳承,回歸傳統。祈願人人「虔誠三柱香,福慧心中生」。

本公司可依客戶的要求,客製化代工,香品代工。

醫學研究

紐約法輪功學員在中央公園集體練功(圖:明慧網)

醫學研究:法輪功可雙向調節免疫系統

2019新冠肺炎與過去SARS同屬冠狀病毒,根據病毒侵害人體的歷程,專家表示「免疫系統」是致命與否的重要因素。但是免疫系統猶如雙面刃,因為自身免疫力雖可殺死病原保護機體,但若過強亦會造成過度炎症反應,從而損傷機體。
【美麗日報2020年02月21日訊】

[低代謝情況下的高免疫力] 這份研究是利用DNA微列(Microarray)和RNA保護等技術,對比了一組煉法輪功一年以上的煉功者與健康的非煉功者之間的異同。在被檢測的12,000個基因中,發現有250個基因的表達活性在法輪功煉功者組群中出現變化,而這些變化的基因多與「免疫」、「細胞凋亡」和「蛋白質降解」有關。

法輪功煉功者的細胞中,參與蛋白質降解的「泛素」(ubiquitin)系統的一系列基因,活性普遍下降幾倍到十幾倍。這意味著細胞中需要清理的變異蛋白質較少。同時,負責蛋白質合成的核糖體基因的活性也下降,這表明蛋白質代謝從整體上趨緩。

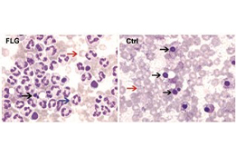
[炎症刺激時的反向免疫調節現象] 更令人訝異的是,法輪功煉功者的「嗜中性粒細胞」在沒有炎症刺激時,存活時間比不煉功的人要長(見圖解),並且吞噬功能強,有利於保護機體;但當有炎症因子時,「嗜中性粒細胞」卻會迅速走向凋亡,從而減少炎症的發生。研究人員表示這種自身的雙向機制在過去的其他研究中是沒有見到的。

細胞被染色後在顯微鏡下觀察:藍色箭頭為健康嗜中性粒細胞,黑色箭頭為死亡細胞;紅色箭頭為紅細胞。左圖顯示法輪功學員的細胞幾乎都是活的,右圖顯示正常健康人的細胞均已死亡。(Lili Feng, Baylor College of Medicine提供)

令人驚訝的是,代謝下降並不意味著細胞功能下降。研究發現,法輪功煉功者粒細胞中, 一系列與免疫力有關的基因活性皆提高了。例如「干擾素-γ」(IFN-γ)和一些相關基因的表達,明顯較不煉功的對照組相比提高許多。另外,在「嗜中性粒細胞」細菌吞噬試驗中,法輪功修煉者的粒細胞吞噬殺傷細菌的效率也顯著提高。
曾於中國人體科學研究中心擔任研究工作、現居美國洛杉磯的中醫專家李有甫先生在接受媒體採訪時表示,自己和另外16名法輪功學員參與的這項在「斯克瑞普斯免疫學研究所(The Scripps Research Institute)」進行的血液研究發現,每個人「嗜中性白細胞」的分枝比正常人要多,亦即吞噬力較強,免疫功能提高,但這種白細胞數量卻又比一般人少。
另外研究還發現,這些法輪功煉功者的血液置於常溫下60小時,細胞竟然沒有死亡,而正常人的血細胞在室溫下兩個小時就會死亡或破壞。
關於煉法輪功的身體變化,2016年美國臨床腫瘤學會(ASCO)也發表了關於癌症末期病人煉法輪功而改善健康的研究(原文鏈接),顯示97%的患者在功後癌症症狀消失,並且平均見效時間只有1.3個月。

法輪功是什麼?
據法輪大法網站介紹,學煉者主要透過學法、修心及煉功來獲得身心健康。學法,即是要閱讀法輪功主要著作《轉法輪》一書。《轉法輪》系統闡述人體、時空、宇宙之謎,以及「真、善、忍」的修煉準則,是修煉者不可或缺的指導。修心,即是按照「真、善、忍」的內涵為做人標準,不斷放下後天的執著與觀念,提高心性與道德層次。煉功,即是煉五套功法。可查詢法輪大法網站觀看教功影片,或到各地煉功點免費學習。
【責任編輯:高進】

產品介紹

沉香臥香

香長度的規格

7.6吋 8.8吋 一尺 尺3 尺6

沉香片

降真珠

每顆30元(12 14 16mm)沉香珠 議價

北聖精選

聯絡我們

  • 地址 :
    雲林縣北港鎮府番里183-2號
  • 連絡電話 :
    05 783 1426
  • 營業時間 :
    週一至週日 07:30-20:00